Лейкоформула

Лейкоформула 

🎓 Онлайн-школа по лабораторной диагностике

905subscribers

212posts

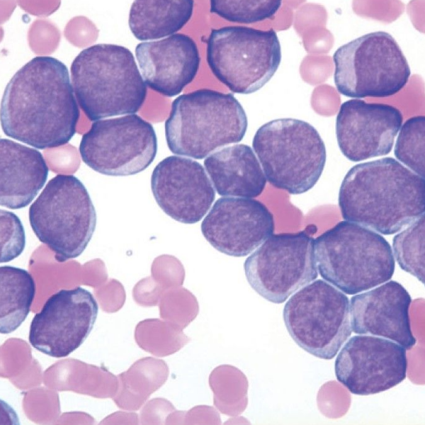
Бласты под микроскопом

10 признаков бластных клеток. Тестовые задания. Продолжительность урока - 45 минут.
Level required:
Палочкоядерный level II
$7$3.5 per month
-50%
Subscription levels7

Сегментоядерный level I

$2.8$1.4 per month
-50%
🎥 Вводный видеокурс по цитологии крови и костного мозга для новичка
📒 Библиотека по преаналитике
+ chat

Палочкоядерный level II

$7$3.5 per month
-50%
🎥Вводный+базовый видеокурс по цитологии крови и костного мозга
🎥Видеокурс «Лимфоузлы и селезенка»
📚 Библиотека клинических случаев 
📚 Библиотека лимфоузлов/селезенки
❗ Скидка 50% на удостоверение о повышении квалификации: «Лабораторная диагностика онкопатологий костного мозга» для аккредитации врача клинической лабораторной диагностики. 
+ chat

Метамиелоцит level III

$14$7 per month
-50%
❗Предыдущие привилегии I и II уровня подписки!
+ 🎥 Видеокурс по микроскопии крови для продвинутых
+ 🎥 4 видеоурока раздела: гематология экзотических животных 🙈️
+ 🎥 5 видеоуроков раздела: 📚«Библиография» 
📒 Библиотека 🐈лабораторная диагностика в ветеринарии  📒 Библиотека ⚖️ Гемостазиология 
📒 Библиотека 🔴 Анемии
+ chat

Миелоцит level IV

$21$10.5 per month
-50%
❗Привилегии предыдущих уровней!
+ 🎥 Видеокурс по микроскопии крови для профессионалов.
+ 🎥 4 видеоурока раздела: молекулярная гематология
+ 🎥 5 видеоуроков раздела: цитохимия
+ 📖 Библиотека лабораторных методик
+ 📖 Библиотека по цитогенетике в гематологии
+ 📖 Библиотека по цитохимии
+ chat

PROмиелоцит level V

$28$14 per month
-50%
❗ Привилегии предыдущих уровней!
+ 🎥 Видеокурс: Экспертная микроскопия крови/костного мозга (легендарный уровень - врач международной клиники).
+ 🎥 Видеокурс: реанимационная/экстремальная гематология
Библиотеки:
🌐Библиотека полезных ссылок 
👶Библиотека по детской гематологии
+ chat

БЛАСТ VI level

$35$17.5 per month
-50%
❗ Привилегии предыдущих уровней!
+🦴 Видеокурс по практике микроскопии/ИФТ крови и костного мозга.
+ 🧠 Библиотека алгоритмов диагностики. Включает новое издание классификации ВОЗ 2022 года по гемолимфоидным опухолям в формате word/pdf с машинным переводом на русский язык.
+ chat

PROэритробласт VII level

$42$21 per month
-50%
Доступ ко всему контенту!
Уникальные видеокурсы:
🧪Лабораторные методы
🧬Клинические случаи
🌐 Онлайн-медицина
🅰️ Алгоритмы диагностики
🩸Библиотека тайн крови и костного мозга человека
❗+ привилегии предыдущих уровней
🔥Nitro-ускорение в обучении! Специально для тех, кто хочет извлечь максимум знаний.  🔒Приглашение в закрытый клуб лабораторных гематологов
+ chat
Go up